6089eac8397925f6912d130ebc1b7b68
0
oralimag
Activado
2026-04-19 08:20:11
Inscrito
2026-04-19 08:20:11
2026-04-19 08:20:11
COL
2257
https://www.oralimagen.com/
Bruxismo
Bruxismo Dental en Medellin
Nuevo
Precio Distribuidor
$
$ 0
$
Ahorras en esta compra
Tiempo de entrega:
Atención: Producto disponible solo bajo solicitud.
La palabra Bruxismo viene del griego Bryko, que quiere decir: "Rechinar los Dientes". Se define como el habito involuntario de apretar o rechinar los dientes sin propósitos parafunsionalesproduciendo perdida de tejidos duros ya sea en las superficies incisales u oclusales o en las zonas cervicales.
SIGNOS O SEÑALES DE ALARMA:
|
![]() |
TIPOS DE BRUXISMO:
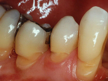
| Céntrico: Cuando se aprietan los dientes y generan Abfracciones, lesiones en los cuellos cervicales, cefaleas tensionales |
|
| Excéntrico: Cuado se frotan o deslizan los dientes generando Atricciones dañando los bordes incisales y oclusales de los dientes |
![]() |
TRATAMIENTO:
- Ajustes Oclusales
- Ferula oclusal o placa miunoneurorelajante programada de acuerdo a la mordida del paciente
- Restauraciones esteticas definitivas
- Analgésicos convencionales o medicados por el odontologo o medico internista
- Relajación Psicológica
- Ortodoncia (cuando se requiera)
La palabra Bruxismo viene del griego Bryko, que quiere decir: "Rechinar los Dientes". Se define como el habito involuntario de apretar o rechinar los dientes sin propósitos parafunsionalesproduciendo perdida de tejidos duros ya sea en las superficies incisales u oclusales o en las zonas cervicales.
SIGNOS O SEÑALES DE ALARMA:
|
![]() |
TIPOS DE BRUXISMO:
| Céntrico: Cuando se aprietan los dientes y generan Abfracciones, lesiones en los cuellos cervicales, cefaleas tensionales |
|
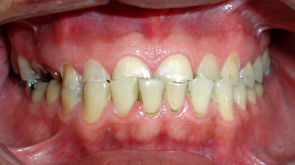
| Excéntrico: Cuado se frotan o deslizan los dientes generando Atricciones dañando los bordes incisales y oclusales de los dientes |
![]() |
TRATAMIENTO:
- Ajustes Oclusales
- Ferula oclusal o placa miunoneurorelajante programada de acuerdo a la mordida del paciente
- Restauraciones esteticas definitivas
- Analgésicos convencionales o medicados por el odontologo o medico internista
- Relajación Psicológica
- Ortodoncia (cuando se requiera)

