9da97179f8081cefe05c114618bb754b
0
oralimag
Activado
2026-04-19 10:04:03
Inscrito
2026-04-19 10:04:03
2026-04-19 10:04:03
COL
2257
https://www.oralimagen.com/
Lesiones no Cariosas
lesiones-no-cariosas-medellin-odontologos
Nuevo
Existen lesiones que presentan similitud a la caries, sin embargo y aunque generan pérdida de las estructuras dentales no se consideran cariosas.
Precio Distribuidor
$
$ 0
$
Ahorras en esta compra
Tiempo de entrega:
Atención: Producto disponible solo bajo solicitud.
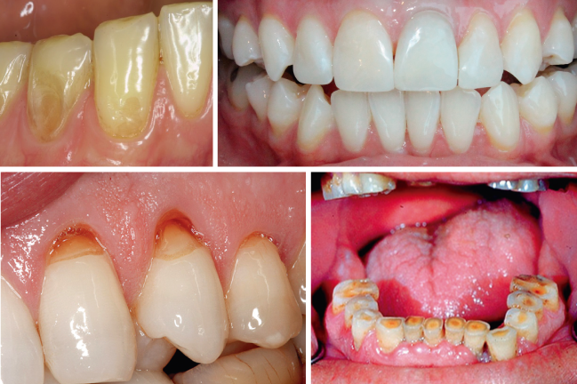
Las lecciones no cariosas se consideran como aquellas lesiones que generan la destrucción de los tejidos duros del diente por cualquier proceso que no sea caries. Pueden ocasionar repercusiones leves o severas tales como: problemas en al Articulación Temporo Mandibular (ATM), pulpitis, periodontitis apical, pérdida de la dimensión vertical, entre muchos otros.
Las lesiones No cariosas se clasifican de acuerdo a su origén o agente causante:
- Atricción
- Abrasión
- Erosión
- Abfracción

Las lecciones no cariosas se consideran como aquellas lesiones que generan la destrucción de los tejidos duros del diente por cualquier proceso que no sea caries. Pueden ocasionar repercusiones leves o severas tales como: problemas en al Articulación Temporo Mandibular (ATM), pulpitis, periodontitis apical, pérdida de la dimensión vertical, entre muchos otros.
Las lesiones No cariosas se clasifican de acuerdo a su origén o agente causante:
- Atricción
- Abrasión
- Erosión
- Abfracción

ATRICCIÓN
Es el desgaste mecánico del esmalte y la dentina producido por el roce con el diente antagonista como resultado de la actividad de la masticación.

CAUSAS:
- Hábitos parafuncionales
- Calcificación del esmalte y la dentina
- Secreción salival anormal
- Patrón Oclusal
- Dieta abrasiva o ácida
TRATAMIENTO:
- Restauraciones con resinas compuestas
- Prótesis fijas o removibles
- Coronas
- Incrustaciones
- Recuperación de la dimensión vertical
-
Protectores nocturnos o placas miunoneurorelajantes
ATRICCIÓN
Es el desgaste mecánico del esmalte y la dentina producido por el roce con el diente antagonista como resultado de la actividad de la masticación.

CAUSAS:
- Hábitos parafuncionales
- Calcificación del esmalte y la dentina
- Secreción salival anormal
- Patrón Oclusal
- Dieta abrasiva o ácida
TRATAMIENTO:
- Restauraciones con resinas compuestas
- Prótesis fijas o removibles
- Coronas
- Incrustaciones
- Recuperación de la dimensión vertical
-
Protectores nocturnos o placas miunoneurorelajantes
ABRASIÓN
Es el desgaste mecánico de la superficie dental provocado por cualquier agente mecánico distinto al diente.

CAUSAS:
- Cepillado inadecuado
- Prótesis dentales desadaptadas o en mal estado
- Hábitos inadecuados tales como: fumar con pipa, morderse las uñas, morder objetos.
- Costumbres profesionales tales como: tener la aguja o un clavo con los dientes, cortar hilo, entre otros.
TRATAMIENTO:
- Eliminar el factor causante tales como: cepillos dentales de cerdas muy duras, cremas dentales muy abrasivas, pipas, prótesis removibles que impliquen cambios o readaptaciones, entre otros.
- Cambiar los hábitos orales inadecuados.
-
Tratamiento restaurador definitivo.
ABRASIÓN
Es el desgaste mecánico de la superficie dental provocado por cualquier agente mecánico distinto al diente.

CAUSAS:
- Cepillado inadecuado
- Prótesis dentales desadaptadas o en mal estado
- Hábitos inadecuados tales como: fumar con pipa, morderse las uñas, morder objetos.
- Costumbres profesionales tales como: tener la aguja o un clavo con los dientes, cortar hilo, entre otros.
TRATAMIENTO:
- Eliminar el factor causante tales como: cepillos dentales de cerdas muy duras, cremas dentales muy abrasivas, pipas, prótesis removibles que impliquen cambios o readaptaciones, entre otros.
- Cambiar los hábitos orales inadecuados.
-
Tratamiento restaurador definitivo.
EROSIÓN
Es el desgaste químico de los tejidos duros del diente producidos por ácidos no secretados por bacterias.

CAUSAS:
- Dieta: frutas cítricas, bebidas carbonatadas (gaseosas), bebidas para el balance electrolítico (energizantes, gatorade),
- Fármacos (vitamina C efervescente o masticable, HC1 en pacientes con aclorhidria)
- Vómitos crónicos (anorexia, bulimia)
- Reflujos gástricos
- Factores ambientales u ocupacionales: natación (C1), vapores ácidos en metalurgia, pipetear ácidos, pintores, catadores de vinos.
TRATAMIENTO:
- Desensibilizantes
- Endodoncia
- Eliminación o disminución progresiva de los agentes causantes.
- Tratamiento restaurador definitivo (resinas compuestas, carillas, coronas)
- Recuperación de la dimensión vertical
EROSIÓN
Es el desgaste químico de los tejidos duros del diente producidos por ácidos no secretados por bacterias.

CAUSAS:
- Dieta: frutas cítricas, bebidas carbonatadas (gaseosas), bebidas para el balance electrolítico (energizantes, gatorade),
- Fármacos (vitamina C efervescente o masticable, HC1 en pacientes con aclorhidria)
- Vómitos crónicos (anorexia, bulimia)
- Reflujos gástricos
- Factores ambientales u ocupacionales: natación (C1), vapores ácidos en metalurgia, pipetear ácidos, pintores, catadores de vinos.
TRATAMIENTO:
- Desensibilizantes
- Endodoncia
- Eliminación o disminución progresiva de los agentes causantes.
- Tratamiento restaurador definitivo (resinas compuestas, carillas, coronas)
- Recuperación de la dimensión vertical
ABFRACCIÓN
Es la pérdida de los tejidos duros del diente producida por el efecto de las fuerzas masticatorias excéntricas y factores físico químicos. La principal consecuencia son los que comúnmente se conoce como Cuellos destapados.

CAUSAS:
- Estrés emocional
- Fuerzas excéntricas causadas por interferencias oclusales.
- Bruxismo
TRATAMIENTO:
- Ajuste Oclusal.
- Tratamiento para la hipersensibilidad dentinaria
- Restauraciones con resinas compuestas y/o ionómeros de vidrio
- Férulas oclusales o placas miunoneurorelajantes para neutralizar el estrés mecánico.
ABFRACCIÓN
Es la pérdida de los tejidos duros del diente producida por el efecto de las fuerzas masticatorias excéntricas y factores físico químicos. La principal consecuencia son los que comúnmente se conoce como Cuellos destapados.

CAUSAS:
- Estrés emocional
- Fuerzas excéntricas causadas por interferencias oclusales.
- Bruxismo
TRATAMIENTO:
- Ajuste Oclusal.
- Tratamiento para la hipersensibilidad dentinaria
- Restauraciones con resinas compuestas y/o ionómeros de vidrio
- Férulas oclusales o placas miunoneurorelajantes para neutralizar el estrés mecánico.